
WebPer quanto riguarda le dentiere mobili di ultima generazione al silicone, normalmente gli impianti dentali sono piccole viti in titanio trattate in modo che, una volta inserite.
Buonanotte Con Abbraccio A Distanza, BUONANOTTE.....UN ABBRACCIO A DISTANZA 🤗, 1.1 MB, 00:48, 15,608, Paola Bianchini, 2019-09-07T20:23:05.000000Z, 3, 200+ Buonanotte immagini foto frasi x WhatsApp - Pagina 7 di 21, www.bestimmagini.it, 1100 x 1371, jpeg, buonanotte buongiorno bellissime abbraccio frasi bacio distanza affettuoso statisticafacile magicobuongiorno impedire bestimmagini forte pensiero augurare archivi, 20, buonanotte-con-abbraccio-a-distanza, New Topics
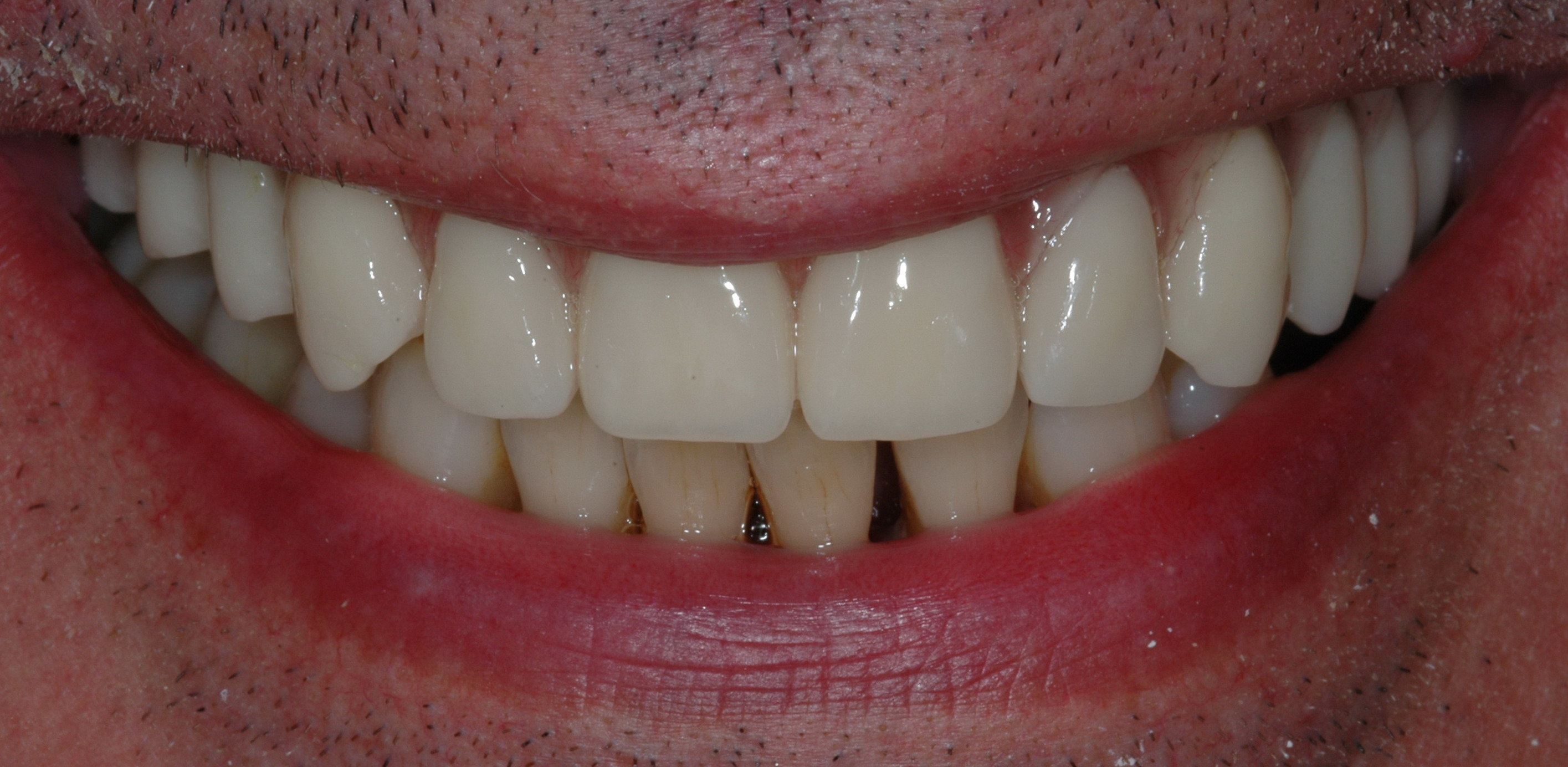
WebCome abituarsi alla protesi dentale mobile, una guida in passaggi: GIORNO 1. Le nuove protesi dentarie possono essere difficili anche per coloro che sono già abituati a. WebVisita il nostro sito:http://goo.gl/P6TJxDLa protesi dentale mobile può essere parziale o totale, con o senza ganci. Guardate anche la protesi dentaria di pr... WebLe protesi dentarie mobili senza palato sono protesi rimovibili di ultima generazione stabili, comode e poco invasive. La soluzione nasce dalla necessità di molti. WebChe cos’è una dentiera mobile? Cominciamo col dire che una protesi è un tipo di apparecchio dentale. Molte cliniche progettano gli apparecchi dentali in maniera. WebDentiera senza palato. La dentiera senza palato è una tipologia di protesi più vantaggiosa rispetto alle soluzioni di tipo tradizionale. E' anche sicura dal punto di vista estetico. WebLa protesi dentaria mobile senza palato come necessità Nelle persone anziane che hanno perso la dentatura, è spesso una necessità scegliere la protesi.
PROTESI MOBILI | Tradizionali VS Innovative. Quali sono i Vantaggi - SkyDental 3D diventato virale
Guarda Protesi mobile su impianti o protesi fissa: le cose da sapere di tendenza
Argomenti Protesi dentale mobile e Protesi dentale fissa: differenze. di tendenza
Dentiera Mobile Senza Palato Video ultimo
PROTESI TRADIZIONALI VS PROTESI INNOVATIVE. QUALI SONO I VANTAGGI?
Tutto quello che c'è da sapere sul mondo delle protesi dentali.
PRENOTA IL TUO CHECK-UP PROTESICO GRATUITO chiamando al numero verde 800 700 817
Via Marsala 45-47 Roma 📞06 44 55 225
Via Casilina 82/B San Cesareo 📞06 95 36 323
Via Nettunense km 6,500 Ariccia 📞06 93 44 622
Informazioni Protesi flessibili in nylon senza palato e ganci metallici| Dentista Resta di tendenza

Attualmente - Dentiera fissa senza palato – Cura della pelle di tendenza

Video Protesi dentali mobili di ultima generazione - Clinica Dentistica di Como di tendenza

Argomenti Protesi flessibili in nylon senza palato e ganci metallici| Dentista Resta Nuovo

Ultimi Protesi totali flessibili e leggere.Novità Centri Dental.it

Richiesto Protesi Mobili flessibili in Nylon | Andrea Costantini popolare

Visualizza Protesi mobili dentali: tipologie, durata, pulizia e manutenzione

Nuovo Costo dentiera mobile - Tutte le info sul prezzo Ultimo

Informazioni Protesi Mobili flessibili in Nylon | Andrea Costantini Ultimo

Oggetto poisson Soucoupe Interconnecter protesi mobile denti Les agriculteurs popolare

Discussione Protesi mobile dentale:la dentiera inferiore - DENTAL CHANNEL .it - YouTube diventato virale

Visualizza Protesi dentale mobile - Studio Dentistico CDA di tendenza

Viral Protesi dentarie mobili senza palato prezzi | Studio dentistico Ostojić Nuovo

Argomenti Protesi mobile - Dentiera | Dentista Ammendolia Velletri Ultimo




Belum ada tanggapan untuk "Dentiera Mobile Senza Palato Video"
Posting Komentar